EXPERIENCED
DENTISTS
We have a team of experienced dental service providers to give you the peace of mind and expertise during our treatments. We are striving to provide you the best.
MODERN
DENTISTRY
We provide the best in terms of technology and techniques when it comes to dentistry. We are always looking for the latest in cutting edge dental technology to provide you the best.
THE AGAVE
CARE
Agave Dental, your Phoenix dentist, is dedicated to optimizing the life-long health and appearance of your smile in a family-friendly, comfortable, state-of-the-art environment.
LET OUR DENTAL FAMILY BE
YOUR “HOME” FOR TRUSTED
PREVENTATIVE, COSMETIC, AND RESTORATIVE CARE
True to our name, Agave Dental is a team of “healers.” We have cultivated a loyal following across multi-generational families from greater Phoenix, Arizona – Arcadia, Paradise Valley, Scottsdale, and places in between! We are proud to be a women-owned and -led practice. We consider it a privilege to be your trusted “home” for uber-comfortable, ultra-professional preventative, restorative, and cosmetic dentist services.
From our dental family to yours
All it takes is a compassionate and non-judgmental dental team. With a team like that (us!), you will not avoid getting the regular, preventive dental care needed to have a healthy, beautiful smile.

In addition to “standard” six-month oral exams, professional cleanings, and cancer screenings, Agave Dental provides a range of services tailored to each patient’s needs. Pediatric patients don’t “graduate” or “age out” at our practice. Additionally, we rarely have to refer patients to other providers, including costly specialists. Sink your teeth into a few of our comprehensive offerings!
- Invisalign® —Aligners correct crowding and misalignment. The aligners themselves are clear, not noticeable in the smile, and can be removed for comfortable eating and effective cleaning
- Advanced technological capabilities – We use everything from digital X-rays to computer-aided dentistry for same-day crowns. These technologies support a super-convenient, comfortable, and safe experience, as well as precise and affordable treatment outcomes
- High-quality dental restorations – We can rebuild deteriorated or lost tooth structures. Depending on your needs, restorations range from tooth-colored composite fillings to full porcelain dental crowns
- Modern tooth replacement – Not all badly damaged teeth can be preserved. For these teeth, we recommend dental extractions followed by prompt tooth replacement. Dental implants are used to “mimic” the design of natural teeth. Once placed in the jawbone, they heal to become a part of the jaw. When attached to prosthetic teeth (crowns, bridges, dentures), implants function like tooth roots to hold the teeth in place
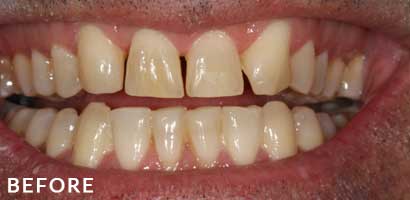
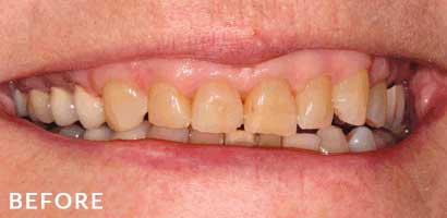
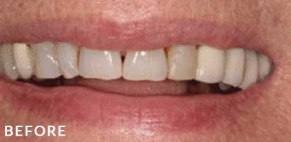
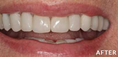
- Cosmetic care – We bring out the best in your smile with professional teeth whitening and porcelain veneers to repair imperfections such as stubborn stains, discoloration, gaps between teeth, chips, small cracks, and worn or irregularly-shaped teeth. We also provide full smile makeovers for a dramatic and life-changing transformation
- Conservative therapies – We also provide a range of non-invasive and preferred alternatives to conventional treatments for conditions such as TMJ Disorders (TMJDs), and periodontal disease.
We have made care as accessible as possible with offerings such as our in-house Smile Savings Plan. Call (602) 932-1235 to schedule an appointment at Agave Dental.
invisalign
Invisalign is a state-of-the-art orthodontic treatment system that uses clear plastic aligners to straighten your teeth.
same-day
crowns
Crowns, which are sometimes referred to as “caps,” are an effective and esthetic way of repairing teeth on the same-day.
dental
implants
Dental implants are a recent innovation in dental technology that allows us to replace missing teeth with a restoration
cleanings
A cleaning typically begins with an ultrasonic instrument that knocks pieces of tartar off of your teeth.
DEDICATION
TO PATIENTS AND
THE COMMUNITY

















